До львівськї дитячої лікарні св. Миколая «швидка» доставила 7-річну дитину з підозрою на гостре порушення мозкового кровообігу (інсульту).
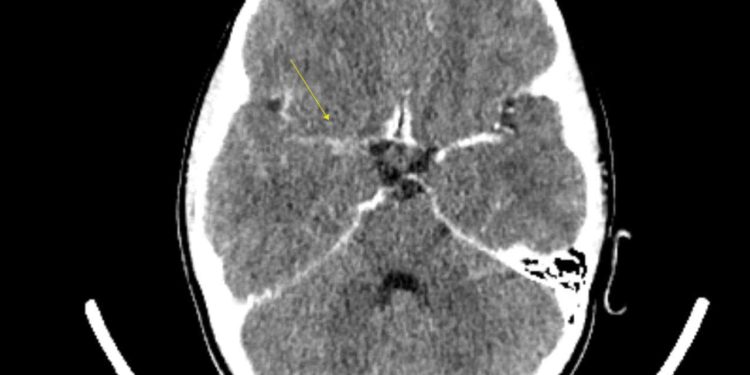
Під час комп’ютерної томографії (КТ) головного мозку з контрастуванням виявили рідкісне захворювання.
Їй терміново провели нейрохірургічне втручання, повідомив у Facebook директор дитячої лікарні Іван Міськів.
Під час КТ головного мозку з контрастуванням лікарі побачили судинні зміни, характерні для захворювання Моямоя. Хвороба моямоя (Moyamoya), що у перекладі з японської означає «клубок диму») – вкрай рідкісне захворювання. За статистикою зустрічається в середньому 5 випадків на десять тисяч людей і може проявлятися як в дитячому віці (пік виявлення 4 роки), так і в дорослому ( 30-40 років) віці. В основі захворювання лежить фіброзна проліферація стінок судин (їх звуження), і, як компенсація, утворення густої сітки колатералей.
«Для детальнішої візуалізації та передопераційної підготовки дитині зробили ангіографію в відділенні інтервенційної радіології, що підтвердило діагноз. Згодом дитині було проведено нейрохірургічне втручання – екстра-інтракраніальне шунтування», – пише Іван Міськів.
Правильний діагноз дитині поставили радіологиня Христина Лєбєдєва та інтервенційний нейрорадіолог Юрій Новак.



















